Coccidiosis in Poultry
Coccidiosis is a parasitic disease caused by protozoa of the genus Eimeria that infect the intestinal lining of chickens. It is a highly contagious disease that primarily affects young birds or those under stress. The parasites damage the intestinal cells as they replicate, leading to symptoms such as diarrhea (often bloody), weight loss, reduced feed efficiency, lethargy, and in severe cases, death.
There are several species of Eimeria that affect chickens, each targeting different parts of the intestine. The severity of the disease depends on factors like the species involved, the level of exposure, and the bird’s immune status.
Affected Birds
-
Chickens
-
Turkeys
-
Geese
-
Ducks
-
Game birds
-
Birds of prey
-
Cockatiels
-
Budgerigars
-
Parrots
-
Pigeon & doves
-
Canaries and finches
Clinical Signs
-
Diarrhea (watery, mucous-filled, or bloody).
-
Lethargy and reduced activity.
-
Weight loss or stunted growth.
-
Pale combs and wattles (anemia).
-
Drooping wings and huddling behavior.
-
Reduced appetite and foraging.
-
Decreased egg production in layers.
-
Undigested feed in droppings.
-
Sudden death in severe cases.
Diagnosis
-
1. Clinical Signs:
Observe symptoms like diarrhea (bloody or watery), lethargy, weight loss, reduced appetite, and stunted growth.
2. Fecal Examination:
Fecal Egg Count (FEC): Microscopic examination of droppings to detect Eimeria oocysts.
Oocyst Identification: Differentiates between Eimeria species for targeted treatment.
3. Post-Mortem Examination:
Inspect intestinal tissue for lesions or damage characteristic of specific Eimeria species.
Look for hemorrhagic or necrotic areas in the gut.
4. PCR Testing:
Detects Eimeria DNA for precise species identification.
Useful for outbreaks or understanding the specific strain affecting the flock.
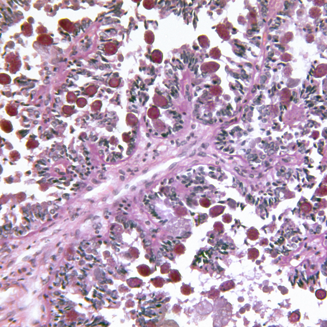
5. Histopathology:
Microscopic examination of intestinal tissue to confirm coccidia presence and evaluate the extent of damage.
6. Antemortem Sampling:
Swabs of intestinal contents for analysis.
Provides additional insights into gut health and pathogen presence.
7. Environmental Testing:
Sampling litter or soil for Eimeria oocysts to assess contamination levels.
Treatments
-
Anticoccidial Medications:
Amprolium (Coxiprol): A thiamine analog that blocks the parasite's energy production. Commonly used in both prevention and treatment.
Toltrazuril (Baycox/Toltravet): Targets all stages of the coccidia lifecycle for comprehensive treatment. Effective in severe outbreaks.
Sulfonamides: Includes drugs like sulfadimidine or sulfamethazine, which inhibit parasite growth.
Supportive Care:
Electrolytes and Vitamins: Add to drinking water to rehydrate and support recovery, especially Vitamin A and K for gut health.
Nutritious Feed: Provide high-quality, easy-to-digest feed to support strength and recovery. Ensuring the bird meets its daily feed and water requirements is essential, even if assistance is needed for reluctant eaters. Maintaining proper nutrition is critical for a successful recovery.
Pain Relief: Pain relief is often overlooked in coccidiosis management but can significantly improve a bird’s comfort and recovery.
- Meloxicam: A non-steroidal anti-inflammatory drug (NSAID) commonly prescribed to reduce pain and inflammation in birds. It can help alleviate gut pain caused by intestinal damage.
- Aspirin (Low Dose): Can be added to drinking water or given in pill form as a temporary solution for pain relief, though veterinary guidance is recommended to avoid overuse or toxicity.
Vaccination:
Used preventatively, especially in commercial operations. Vaccines expose birds to controlled doses of Eimeria to build immunity.
Natural Remedies (Complementary):
Probiotics: Support gut health and help combat secondary infections.
Herbs/Essential Oils: Oregano and garlic have mild anticoccidial properties but are not replacements for medication.
Environmental Management:
Clean Housing: Remove contaminated litter and sanitize regularly to break the lifecycle of the parasite.
Dry Bedding: Keep litter dry to reduce oocyst survival.
When to Treat:
Start treatment as soon as symptoms appear, especially bloody droppings or lethargy. Severe cases may require veterinary intervention for effective management.
Prevention
-
Managing coccidiosis in poultry involves a combination of biosecurity measures, good husbandry practices, vaccination, and feed additives to limit excessive exposure and support natural immunity. Here are some effective strategies for minimizing the risk of clinical disease:
-
1. Maintain Good Hygiene & Biosecurity
- Keep the coop clean and dry – Coccidia thrive in damp, dirty environments.
- Regularly remove feces and wet litter to reduce parasite load.
- Disinfect equipment and housing using ammonia-based or specialized coccidiostats.
- Limit visitors and control rodent populations to prevent contamination.
-
2. Litter Management
- Keep bedding dry and well-aerated to minimize moisture where oocysts survive.
- Use deep litter management to encourage beneficial microbial competition.
- Consider rotating litter or using litter amendments like hydrated lime to reduce coccidia survival.
-
3. Provide Clean, Fresh Water
- Use elevated drinkers to prevent contamination with feces.
- Clean and disinfect waterers regularly to prevent the spread of coccidia.
- Avoid stagnant water sources.
-
4. Coccidiosis Vaccination
- Live coccidiosis vaccines are available for chicks and provide long-term immunity.
- Typically administered via spray, drinking water, or gel droplets in the hatchery.
-
5. Feed Additives (Coccidiostats & Natural Alternatives)
- Coccidiostats (anticoccidial drugs) in commercial feed prevent coccidia from multiplying.
- Probiotics and prebiotics help support gut health and resistance to coccidia.
- Essential oils (oregano, thyme, garlic) and plant extracts have shown promise as natural coccidiostats.
-
6. Limit Overcrowding
- Overcrowding increases stress and fecal contamination, leading to higher coccidiosis risk.
- Follow proper stocking density guidelines to reduce disease spread.
-
7. Boost Immunity & Nutrition
- Provide a balanced diet with adequate vitamins and minerals, especially vitamin A (for gut integrity).
- Consider adding probiotics, prebiotics, or acidifiers to support a healthy gut.
- Avoid sudden diet changes, as they can stress the birds and weaken immunity.
-
8. Use a Pasture Rotation System (For Free-Range Birds)
- Rotate pastures to reduce the buildup of coccidia in the environment.
- Let pastures "rest" for several weeks before reintroducing birds.
- Allow sunlight exposure in outdoor areas, as UV light helps kill oocysts.
-
9. Early Detection & Isolation
- Monitor birds for signs of coccidiosis (bloody diarrhea, lethargy, weight loss, ruffled feathers).
- Isolate infected birds immediately to prevent further spread.
- If coccidiosis occurs, treat promptly with Amprolium or toltrazuril-based medications.
Avian Empire
Bird Probiotics - 100g
Share
